숨케어한의원

한의원소식

호흡기 질환만 연구, 숨케어한의원

현00님(97세) 선물

페이지 정보

profile_image
작성자 숨케어한의원
댓글 0건 조회 74회 작성일 26-03-21 14:41

본문

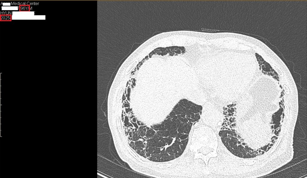
​폐섬유증 치료 받고 계시는 현00님의 따님께서 선물을 가지고 오셨습니다  

2022년부터 숨케어한의원에서 관리 받고 계시는 분입니다  


폐섬유증 관련해서는 피레스파 같은 양약을 복용하지 않고 한약만 복용하고 계시는데 잘 관리가 되고 있어서 다행으로 생각하고 있습니다 

현재 숨케어한의원에서 폐섬유증 치료 받는 분 중에서 최고령(97세)입니다 


계속해서 최선을 다하겠습니다

감사합니다 




8c3c01b6206e0f4e17b8ca695d448887_1774071652_89.jpg
 





8c3c01b6206e0f4e17b8ca695d448887_1774072579_91.jpg
2025년(96세) CT 사진

진료시간 및 예약

  • 평일오전 11시 ~ 오후 7시
  • 토요일오전 10시 ~ 오후 3시
  • 점심시간오후 1시 ~ 오후 2시
숨케어한의원은 일요일, 공휴일은 휴진입니다.

02-577-7889

숨케어한의원에서는 전화예약을 받고 있습니다. 내원시 엑스레이, CT사진, 폐기능검사지를 가지고 오시면 자세한 상담이 가능합니다.

커뮤니티

찾아오시는 길

주소: 서울시 강남구 남부순환로 359길 12 향덕빌딩3층
지하철 3호선 양재역 4번 출구에서 도보로 3~5분
1층 후문에는 전용주차장이 있습니다자세히보기