숨케어한의원

치료후기

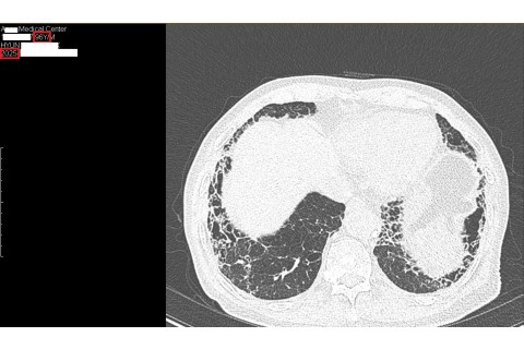
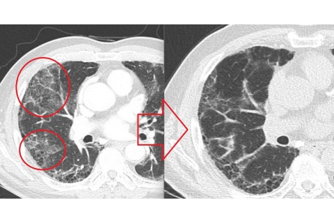
호흡기 질환만 연구, 숨케어한의원

Total 82건 1 페이지
치료후기 목록
이미지 제목
공지
공지
공지
공지
공지
공지

검색

진료시간 및 예약

  • 평일오전 11시 ~ 오후 7시
  • 토요일오전 10시 ~ 오후 3시
  • 점심시간오후 1시 ~ 오후 2시
숨케어한의원은 일요일, 공휴일은 휴진입니다.

02-577-7889

숨케어한의원에서는 전화예약을 받고 있습니다. 내원시 엑스레이, CT사진, 폐기능검사지를 가지고 오시면 자세한 상담이 가능합니다.

커뮤니티

찾아오시는 길

주소: 서울시 강남구 남부순환로 359길 12 향덕빌딩3층
지하철 3호선 양재역 4번 출구에서 도보로 3~5분
1층 후문에는 전용주차장이 있습니다자세히보기